"Qu'est-ce qu'il a cet homme ? Un glioblastome" Avr-Déc 2014

Oui, 6 mois après la faille d'octobre 2013, 1 mois après l'avis médical que, du côté gauche de mon cerveau, des cellules maléfiques avaient bien décidé de me tarabuster, je suis toujours là et joyeux.

Début Avril 2014, j'annule tous mes rendez-vous pris dans le Nord, où je prévoyais d'aller encore chaque mois avec mon Opel Vivaro. En janvier, j'avais alors créé un planning de février à juillet, avec l'idée de vivre entre les deux régions de France. Mais la vie m'apprend une expression que je n'avais jamais beaucoup employée : « on va voir ». C'est chaque matin, chaque jour que l'« on va voir ».

Le 4 avril, j'ai déjà un rendez-vous avec le Professeur du CHU d'Angers. On papote un peu, il est souriant et avenant. Il voudra me faire venir trois fois par an. Je n'en sais guère plus. Angers est une belle ville aussi.

Le 9 avril, j'ai mon premier rendez-vous en Oncologie à l'Hôpital de La Rochelle. Le médecin oncologue nous fait un bon topo sur les conventions prévues. J'apprends et je comprends bien où je vais. C'est la mise en place du Protocole STUPP : 42 jours de chimiothérapie orale, chaque matin chez moi, du 29 avril au 9 juin. Pour accompagner la chimio orale, dès le réveil, un anti-nauséeux à jeun. Une demi-heure plus tard, le Témodal, traitement chimio (doses récupérables chaque mois uniquement en pharmacie hospitalière). Le dosage est fonction du poids et de la taille (surface de peau). Une heure après, rendez-vous au sous-sol de l'Hôpital pour la radiothérapie : 30 séances de radiothérapie, du lundi au vendredi (moins les jours fériés!) et du 29 avril au 13 juin. On me fabrique un super-masque qui fixera alors ma tête sur la table à chaque séance. J'y vais paisiblement, comme s'il s'agissait d'une période de relaxation. Puis, entre 10 et 11 heures du matin, je prends le petit déjeuner. En matière alimentaire, rien n'est conseillé ni mis en garde.

Ce qui s'en suit n'est pas prescrit, ni même parlé à l'hôpital, mais souhaitable, en cherchant par soi-même : une balade à pied, un certain type de massage de la peau irradiée, des comprimés naturels stimulants de l'immunité, des plantes protectrices du foie en ampoules buvables, etc. On repère des tas de petits conseils pour faire face au cancer dans le « Ça m'intéresse Hors série N°3 » sorti « pour moi » en avril 2014 ! L'influence du moral, de l'amour, la surveillance de parties du corps et tous les trucs naturels pour se protéger de la radiothérapie et de la chimiothérapie : privilégier les exercices de profonde respiration, des massages aux huiles de sésame, bourrache ou onagre et quelques gouttes d'huiles essentielles de niaouli ou de lavande, l''hypnose et l'auto-hypnose, les tisanes et le miel, la marche, le vélo, la natation, la danse, etc. Tout cela dans le calme et l'économie du geste. J'essaie de faire de mon mieux de ce côté. On dit que le moral n'a pas d'influence sur la survenue d'un cancer, mais qu'il en a sur la qualité de la vie. Tout ce dont on pense que ça fait du bien, « ça fait du bien ». Harmonie entre toutes ces réponses. On prend.

Même si c'est difficile parfois, je garde de la joie. Je vais de l'avant, avec détermination et simplicité. Je cultive mon art de vivre, comme auparavant je cultivais mes légumes. Tous ces mois, je suis entouré de proches, familiaux, familiers, qui me rendent visite. Cela peut nous faire du bien à tous. Je découvre aussi de plus en plus « mon ami intérieur ».

Fin Juin, je pars en TGV pour plus d'une semaine dans le Nord. Super forme, plein de belles rencontres. J'y retournerai aisément et avec plaisir trois fois jusqu'à fin 2014.

Le 16 juillet, mon rendez-vous médical en Oncologie me surprend. Je pensais en avoir fini avec la chimio. On m'annonce la reprise du protocole STUPP : chimiothérapie orale, 5 jours/28, à double dose pendant 6 mois jusqu'à décembre. Ne l'avais-je jamais entendu ou ne me l'a-t-on pas encore dit ? Je ne sais pas. Alors j'obtempère. Et c'est tout l'été que je me régale de bains de mer devant chez moi.

Le 05 août, l'IRM de contrôle à La Rochelle est bonne et n'indique pas de traces particulières. C'est une information agréable à recevoir. Tout cela a l'air bien sympathique pour le corps et l'esprit du patient. Donc, le 12 septembre, à mon rendez-vous au CHU d'Angers, on est tous joyeux. Le prochain rendez-vous sera dans 4 mois. Rien n'est dit de plus, si ce n'est : « Prenez notre revue mensuelle, vous êtes dessus » ! Souvent, les rendez-vous dans les Hôpitaux me paraissent intéressants mais restrictifs, limitatifs. Certes, cela se comprend, chacun sa voie, chacun son métier. L'ensemble de ce qui se dit et se transmet sur une maladie, ce serait alors au patient d'y accéder, d'en devenir l'expert, le curieux (s'il n'est pas trop épuisé).

Dans ma vie de tous les jours, je tâche de chercher le « juste milieu », plutôt que d'aller en courant « à gauche ou à droite ». J'aime parfois être actif, pour ne pas penser à de la mélancolie. Je prends conscience de mes agacements, tristesses, sentiments d'injustice. Je les regarde, les choisis, les accepte. J'aime devenir le roseau de la Fable de La Fontaine. Et faire ce qu'on a à faire, et être en paix. « La sagesse console », comme disait Boèce. Ce qui ne dépend pas de moi : j'accepte. Ce qui dépend de moi : je me mobilise. Voilà ce qu'en disent certains philosophes. Je les écoute. Dans le renoncement aux succès et à la richesse, j'aime le lâcher-prise, l'instant-cadeau. Et par l'affirmation du désir et l'action, l'existence combative, la force vitale. La souffrance traitée avec curiosité. Si ça sent le brûlé dans ma vie, que faire ? De quoi ai-je besoin ? La beauté, la paix, la liberté, la tranquillité, le respect, le repos, la joie, l'émerveillement, la curiosité, le courage, la discrétion, la courtoisie, la stabilité, la générosité, la parole juste.

Mais depuis la rentrée de septembre, là où j'habite est devenu une zone nocturne d'étudiants bruyants. Ce qui se passe près de chez nous ou dans le monde entier ne nous détend pas toujours. S'il pouvait nous reposer ! Et ciseler joliment notre monde intérieur, plutôt que d'en faire un gouffre. J'ai cherché à changer le monde, je tente de m'éloigner de tout cela.

Le 10 octobre, j'ai une visite à prix libre chez un médium sourcier magnétiseur de La Rochelle. J'y reste environ trois heures, je dis deux mots, il préfère que je me taise, je l'écoute et le regarde, avec ses pendules, documents et gribouillis... J'ai peu retenu de ses paroles, c'est étonnant !

« De la caste des guerriers, vous passez vers celle des maîtres » (c'est flatteur !). « Le moi fragile retrouve l'ami en soi » (bien vu). « Pardonner soi-même, les autres encore là ou déjà partis » (comme c'est juste)...

Le lendemain à Royan, j'assiste à une conférence bouddhiste sur l'Ego. Si tu vis l'ignorance, la méconnaissance, l'orgueil, l'attachement, la jalousie, l'envie, tu vas vers la souffrance. Si tu préfères la sagesse, tu traverses diverses inclinations : l'éthique, la compassion, la générosité, la patience, la diligence, l'enthousiasme, la connaissance, l'esprit posé...

Le 24 octobre, « I'm sixty four » et je suis victime d'un « rash » (éruption cutanée sévère occasionnée par les traitements chimio-thérapeutiques). L'évolution est à suivre, avec d'autres traitements de compensation.

En novembre, je reçois et accorde de jolies visites amicales et familiales. Je signe aussi le compromis de vente de mon studio rochelais face à la mer. Je deviendrai locataire en février 2015.

En décembre, ce sont les anniversaires de mes trois enfants, et je sens toujours se dilater mon immortel amour pour eux.

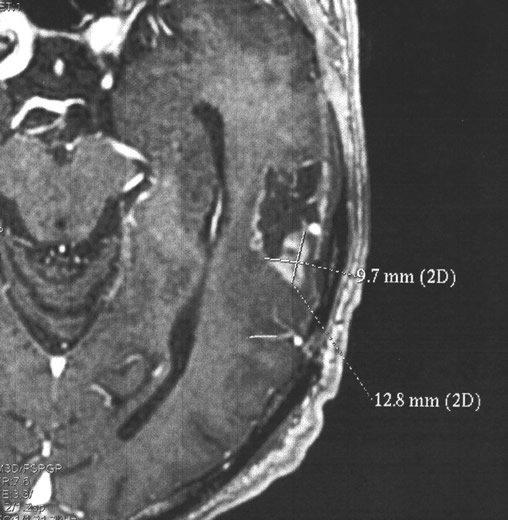
Le 9 décembre, l'IRM laisse apparaître, par rapport à celle du mois d'août, une « composante charnue pariétale périphérique à prédominance postéro-inférieure » avec réapparition d'un œdème. C'est donc négatif, on décèle la réinstallation « classique » de la tumeur.

Le 12 décembre, c'est la fin de ma chimiothérapie, et j'ai un rendez-vous au CHU d'Angers. Là, une discussion induit une possible ré-opération. Ce n'est pas urgent, disent-ils. Mais tu parles, les vacances de Noël approchent pour le personnel médical. Ce sera pour janvier. Je le comprends !

Je porte parfois ma part féminine, celle de ma mère, la bravoure retenue et la force intérieure. Je lui ressemble bien plus maintenant. Ce sourire devant la mort qu'elle avait avec moi... « Philosopher, c'est apprendre à mourir », écrivait Montaigne.

J'ai parfois le sentiment profond d'avoir trop donné de ma vie : aux fragiles dans le métier, aux personnes, femmes et hommes rencontrés... Je ne sais plus. De ne faire que donner encore et toujours, je l'appréhende, je n'en trouve plus de raisons.

Fin d'année : visites de mes proches venant du Nord, toujours plaisantes.

Quand on aura introduit 2015, en plus de cette ré-opération à Angers, j'ai bien envie d'approfondir de nouvelles recherches : l'immunothérapie, pas encore possible en France, des innovations, divers potions et remèdes, aimablement proposés par les amies et la famille, ou trouvés sur ce fameux Internet...

Merci à celles et ceux qui me lisent, m'écoutent et ont été prêts à m'accorder ce qui parfois me manque.

récit publié en février 2015